Lompat ke konten Lompat ke sidebar Lompat ke footer

View Refractory Anemia With Ringed Sideroblasts Symptoms US

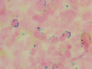
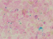
View Refractory Anemia With Ringed Sideroblasts Symptoms US. The ring sideroblast is an erythroid precursor in which one third or more of the nucleus is encircled by granules which are positive for iron stain. What are the implications of recent advances in our understanding of the molecular basis of congenital sideroblastic anemia for the acquired forms, i.e.

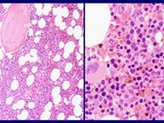
Refractory anemia with ringed sideroblast associated with ...
Refractory anemia with ringed sideroblast associated with ... from imagebank.hematology.org
Rars is distinguished from refractory anemia by having 15% or more ringed sideroblasts among the erythroid precursors in the bone. When anemia comes on slowly, the symptoms are often vague and may include feeling tired, weakness, shortness of breath or a poor ability to exercise. In sideroblastic anemia, the body has iron available but cannot incorporate it into hemoglobin.

Refractory anemia with ring sideroblasts is a type of myelodysplastic syndrome.

Refractory anemia is one of the varieties of anemia, characterized by a violation of the maturation of the cells of the red sprout. Abnormal deposition of iron in the mitochondria of red cell precursors forming a ring around the nucleus. by paulo henrique orlandi signs of sideroblastic anemia. Treatment is supportive through measures such as blood transfusions if anemia becomes symptomatic. What are the implications of recent advances in our understanding of the molecular basis of congenital sideroblastic anemia for the acquired forms, i.e.

Posting Komentar untuk "View Refractory Anemia With Ringed Sideroblasts Symptoms US"